통증이 너무 심했고요. 통증 때문에 걷는 게 힘이 드는 거예요. 한 5분~10분이면 갈 수 있는 거리를 20분~30분 정도 걸렸어요.
정형외과에서 주사 맞고 나서 다리 통증 때문에 누울 수가 없었어요. 쑤시고 아프니까요. 허벅지 쪽에 통증이 굉장히 많이 오는 거죠. 아침에 일어나는 게 무서웠어요. 일어나서 다리를 디디면 얼마나 통증이 올까 이런 것 때문에요.
“3~4년 전 봄에 화분을 심다가 아프게 됐는데 전에는 파스 붙이고 한의원 치료를 받으면 금방 나았지만 이번엔 잘 안 낫다 보니 주위에서 정형외과를 소개해줬어요”
정형외과 가서 X-ray 찍었더니 디스크래요. 그래서 주사를 맞았거든요. 적어도 한 7~8번 정도는 맞았을 거예요. 그런데 주사를 맞으면서 안 아프던 오른쪽 발목에 통증이 오기 시작하고요. 그리고 왼쪽은 더 아파지기 시작하는 거예요. 신경주사 맞고 안 아프던 오른쪽까지 아파지기 시작한거죠. 뻐근하고 뻣뻣한 감각 있죠. 내 살 같지 않은 느낌 같은 게 있었어요. 그리고 신발을 신으니까 주사를 맞았던 왼쪽 발이 줄어든 거예요. 근육이 줄어든 거죠. “선생님, 저는 주사를 맞았는데 왜 왼쪽 발이 헐거워졌죠?” “이게 무슨 주사예요? 하고 물어보니까 ‘신경주사예요’ 이러지, 스테로이드라고 하면 안 맞으니까. 그 전에는 그 스테로이드에 대한 부작용이 있다는 걸 알지도 못했고 의사 선생님들은 부작용에 대해서 언급을 하나도 안 해요. 스테로이드 부작용에 대한 어떠한 설명도 없는 거예요. 저를 제일 우울하게 했던 게 뭐냐면 치료를 하면 할수록 더 아파지니까 아 ‘나 이러다가 평생 못 고치는 거 아니야’ 이런 불안이 있었어요. 너무너무 슬프죠.
나는 이제 정형외과에 가면 안 되겠구나. 그렇게 주사를 맞고 나서 점점 더 아파지고 너무 힘이 드니까 그러다가 ‘나는 한의원에 다니면서 치료해야겠구나’ 하는 와중에 모커리 원장님 유튜브를 본 거예요. 유튜브를 보고 ‘원장님 본인이 아프셨으면 아픈 사람의 심정을 알겠구나’ 하고 그걸 보다가 척추전문 한방병원이 있구나 알게 됐어요. 한방 척추전문이면 다른 병원하고 차별화가 됐을 것 같고 모커리만의 노하우가 분명히 있을 것 같았어요. 치료후기도 많이 봤는데 저분들이 거짓말은 아니겠구나라는 그 진실성이 보였어요.
이 환자분은 다리가 아파 걷기 어려운데 3~4년간 계속 신경 주사만 맞으면서 버티다가 계속 나빠져서 처음에는 한쪽 다리만 아프던 것이 나중에는 양쪽 다리가 다 아프고 결국 다리의 근육 위축까지 발생한 환자분입니다.
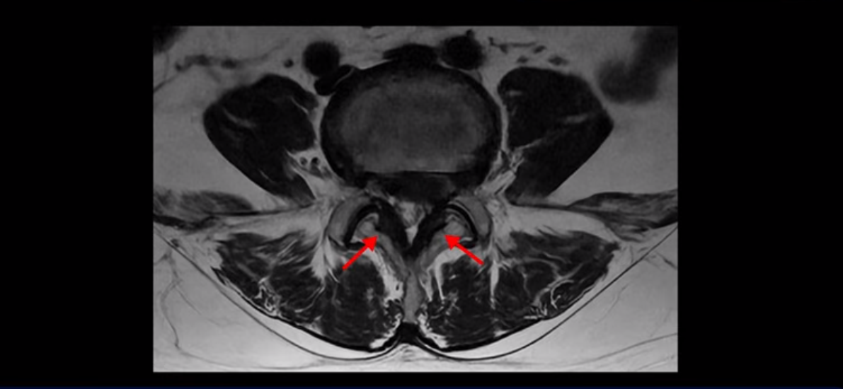
이분 MRI를 먼저 보실까요. 보시다시피 척추 여러 마디가 퇴행되어 있고

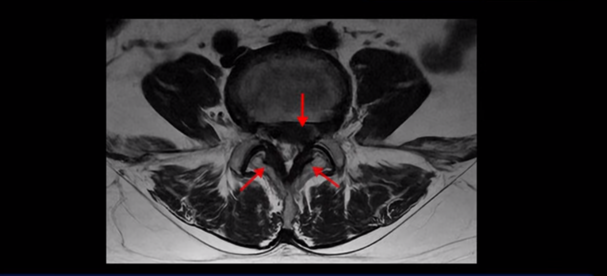
4번 5번 마디에는 심한 디스크 파열이 있습니다.

밀려 나온 수핵이 밑으로 흘러내려가 있는데, 이분의 증상은 급성 디스크 증상은 없고 협착증 증상이라서 이 디스크 파열은 오래전에 발생해서 이미 밀려 나온 수핵이 흡수되지 않고 굳어있는 상태로 보입니다.
단면을 보면 디스크 수핵은 왼쪽으로 심하게 밀려 나와 있고

좌우 뒤쪽에는 황색 인대가 두꺼워져 있습니다.

앞에서는 디스크 수핵이 신경 공간으로 침범하고 뒤에서는 두꺼워진 인대가 신경 공간을 좁히고 있습니다.

이렇게 신경 공간이 좁아진 것을 협착이라고 합니다. 왼쪽으로 신경 구멍이 더 좁아져 있으니까 처음에는 왼쪽 엉덩이와 다리가 아팠는데 몇 년 동안 주사 맞으면서 버티다 보니까 오른쪽 다리까지 아프게 됩니다. 결국 양쪽 다리가 너무 아파서 5분 걷기도 힘들어지게 됩니다.
이분의 MRI를 환자 증상은 자세히 듣지 않고 MRI만 보고 진료하는 의사가 본다면 심한 디스크 파열이 보이기 때문에 그냥 디스크 파열 증상이라고 진단할 겁니다. 하지만 이분의 증상은 명확히 디스크 탈출 증상이 아니고 협착증 증상입니다. 급성 디스크 증상이라면 재채기도 못하고 조금만 허리를 구부려도 날카로운 통증이 발생할 텐데, 그런 증상이 아닙니다. 진단을 잘못하면 엉뚱한 치료를 하게 되고 당연히 치료 결과가 좋을 수가 없습니다. 그래서 밀려 나온 디스크와 협착이 같이 보일 때는 증상으로 질환을 감별하는 것이 매우 중요합니다. 오래되어 굳어버린 디스크 수핵도 신경을 좁히는 역할을 하니까 협착증 증상을 일으키는 것이죠.
오래되어 굳어버린 디스크 수핵과 협착증은 최근에 터진 급성 허리디스크에 비해 신경주사 효과가 많이 떨어집니다. 그래서 3번 정도 맞아보고 효과가 없으면 다른 방법을 찾아봐야 하는데, 이분은 몇 년 동안 10회 이상 주사만 맞으면서 계속 버팁니다. 신경주사는 염증을 줄여서 진통 효과를 보려고 하는 것이기 때문에 오래되어 굳어버린 퇴행성디스크의 만성적인 염증과 협착증에는 효과가 떨어집니다. 이렇게 주사 치료도 효과가 없이 몇 년 동안 아픈 상태가 오래 지속되면 허리, 골반, 다리 근육이 다 위축되고 망가지기 때문에 시간이 오래될수록 신경 기능은 물론 근육 상태와 허리 기능은 점점 더 안 좋아집니다.
걸을 수 있는 거리는 점점 짧아지고 왼쪽 발의 근육이 빠져서 신발이 헐거워졌다는 얘기 들으셨죠? 이분 MRI를 보면

디스크 파열은 심해 보이나 신경 구멍이 좁아지는 협착증으로 보자면 저희 다른 치료 후기에 나오시는 협착증 환자분들의 MRI에 비해 신경 구멍은 넓은 편입니다. 그래서 신경이 정말 심하게 눌릴 때 나타나는 다리의 힘 빠짐 증상은 없었고 통증, 즉 아프다는 증상을 제일 심하게 호소하셨습니다.
이 환자분처럼 아프다고 하는 증상이 힘 빠지는 증상보다 일반적으로 치료가 더 쉬운 이유가 바로 이런 이유 때문입니다. 신경이 덜 눌리는 것이죠. 저희는 협착증 환자분들의 허리, 골반, 다리의 근육 기능을 재활 치료해서 근육 상태가 좋아지면 신경이 덜 눌리게 되면서 방사통이 줄어들고 힘이 빠진 환자분들은 힘이 회복된다고 계속해서 설명하고 있고 지난 16년간 이런 환자분들 수천 명이 작성하고 찍어주신 치료 후기 수천 개를 저희 유튜브와 홈페이지에 올려놔서 언제든 보실 수 있는데요. 이런 수많은 비수술 치료 후기와 저희가 미국 최고의 대학병원 메이요클리닉과 공동 발표한 대조군 임상 연구 논문들을 보고도 주사나 시술로 치료가 안 되면 수술 고민만 하시는 분들이 많습니다. 참으로 안타까운 일이 아닐 수 없습니다.
그럼 이런 환자분들의 허리 기능 재활치료는 어떻게 할까요? 허리기능재활치료는 협착증 환자의 약해지고 굳고 뭉치고 뒤틀린 근육 문제를 해결하기 위해 한방, 양방을 통틀어 근육에 관련된 할 수 있는 거의 모든 치료를 다 합니다. 침, 약침, 봉침, 이완추나, 근육의 피로를 풀어주는 한약, 도수치료, 물리치료, 운동치료까지 여러분이 일상적으로 많이 받고 계신 치료가 대부분 다 근육을 치료하는 겁니다. 그런데 대부분 일주일에 한두 번씩 찔끔찔끔 받고 계시죠. 협착증이라는 건 10년, 20년, 30년 이렇게 오랜 기간 근육이 줄어들고 약해지고 문제가 생기면서 발생하는 것이기 때문에 근육치료를 일주일에 몇 번 받는다고 해서 이런 오래된 근육 문제가 해결되는 것이 쉽지 않습니다. 그래서 통원 치료보다는 입원집중치료를 권하는 겁니다.
그럼 이런 환자분들의 허리 기능 재활치료는 어떻게 할까요? 허리기능재활치료는 협착증 환자의 약해지고 굳고 뭉치고 뒤틀린 근육 문제를 해결하기 위해 한방, 양방을 통틀어 근육에 관련된 할 수 있는 거의 모든 치료를 다 합니다. 침, 약침, 봉침, 이완추나, 근육의 피로를 풀어주는 한약, 도수치료, 물리치료, 운동치료까지 여러분이 일상적으로 많이 받고 계신 치료가 대부분 다 근육을 치료하는 겁니다. 그런데 대부분 일주일에 한두 번씩 찔끔찔끔 받고 계시죠. 협착증이라는 건 10년, 20년, 30년 이렇게 오랜 기간 근육이 줄어들고 약해지고 문제가 생기면서 발생하는 것이기 때문에 근육치료를 일주일에 몇 번 받는다고 해서 이런 오래된 근육 문제가 해결되는 것이 쉽지 않습니다. 그래서 통원 치료보다는 입원집중치료를 권하는 겁니다.
이렇게 입원해서 치료하고 쉬고 운동하고, 치료하고 쉬고 운동하고를 매일매일 2주~4주 정도 계속 반복해서 근육 상태가 좋아지면, 허리를 더 잘 지탱해 주니까 협착증 증상이 훨씬 더 좋아지게 됩니다. 그럼, 이분의 근육신경재활치료 결과는 어떻게 되었을까요? 엉덩이와 다리가 아파 5분 걷기도 힘들었는데 3주 만에 잘 걸을 수 있게 되었을까요? 통증이 80프로 이상 좋아지셨을까요? 근육신경재활치료의 장점은 허리가 재활을 통해 더 튼튼해지고 건강해지는 겁니다. 허리에 손상이 생기는 수술과는 달리 근육재활치료는 허리에 어떠한 형태로든 손상이 없고 반대로 더 튼튼해지는 겁니다. 그게 정말 큰 장점이고 그래서 관리만 잘하고 가르쳐드린 가벼운 운동만 꾸준히 해주시면 치료 효과가 오래도록 유지될 수 있는 겁니다. 이분의 치료 후 결과가 궁금하시다면 아래 영상을 꼭 보시길 바랍니다.
모커리 척추관협착증 ABCDE 한·양방 협진 재활치료법은 수술 없이 협착증을 치료하는 모커리 고유의 비수술 치료방법입니다. 한쪽 다리의 통증만 있는 초기 협착증부터 다리에 힘이 빠지고 몇 걸음 걷지 못하는 말기 협착증까지 ABCDE 척추관협착증 비수술 치료법으로 치료하고 있습니다. 모커리는 수준 높은 임상연구를 통하여 말기 협착증 환자가 ABCDE 재활치료로 통증 없이 걷는 거리가 11배 증가했다는 것을 과학적으로 객관적으로 증명하여 국제학술지에 논문을 발표했습니다.

보다 많은 환자분들과 건강정보를 공유하고자 개방형 게시판으로 건강상담을 운영하고 있습니다. 목과 허리 통증•디스크•협착증•교통사고•어깨•무릎 등 궁금하신 질문을 남겨주시면 전문의가 최대한 자세하게 답변 드립니다.
| 제목 | |||||||||
|---|---|---|---|---|---|---|---|---|---|
|
|||||||||
|
|||||||||
|
|||||||||
|
|||||||||