보건복지부지정
근로자의날
keyboard_tab
예약신청
- -
   [개인정보처리방침]

예약이 접수되면 상담원이 전화를 드려
예약을 확인해드립니다.

상담신청
- -
   [개인정보처리방침]

상담이 접수되면 전문 상담원이
직접 전화로 답변 드립니다.

척추클리닉

디스크 내장증
이상근증후군, 디스크내장증 진단? MRI는 심하지 않다는데 50, 60대 여성 중 앉아도 걸어도 누워도 허리 엉덩이 다리까지 아픈 환자들 치료방법
디스크내장증 의심환자 4명의 비수술 허리기능재활치료 이야기- 디스크내장증은 디스크의 문제가 아니라 신경주사로 호전되지 않으며 반드시 허리기능재활치료를 받아야 합니다.
디스크내장증은 잘못된 진단명입니다- 디스크가 아픈 게 아니고 섬유륜 파열도 아닙니다. 진짜 통증의 원인은?
디스크내장증 근육성방사통 허리기능재활치료후기- 허리, 엉덩이, 양쪽 다리통증과 저림, 아파서 앉을 수 없는 환자분
디스크내장증 근육성방사통 허리기능재활치료후기-앉아도 걸어도 누워도 아프고 24시간 양쪽 다리저림, 발저림이 있는 환자분
디스크내장증 진단을 받았다면 반드시 알아야 할 10가지
디스크내장증 근육성방사통 허리기능재활치료후기- MRI 와 일치하지 않는 양쪽 발저림 증상과 앉기만 하면 엉덩이와 허리가 아파 디스크내장증 진단을 받은 환자분
디스크내장증 근육성방사통 허리기능재활치료후기- MRI상 설명이 안 되는 양쪽 다리 저림 증상과 조금만 앉아도 허리와 엉치가 아픈 환자분, 디스크가 아프다는 디스크내장증은 오진입니다.
목디스크
목디스크란
목디스크 환자가
꼭 알아야 할 10가지
목디스크 초기증상 및 치료
목디스크 초기증상 및 자연치유
목디스크증상
목디스크파열
목디스크 파열 환자가 꼭 알아야 할 힘빠짐과 마비 증상, 체크하는 법
목디스크두통
목디스크자가진단(스펄링테스트)
목디스크자가진단(어깨외전테스트)
목디스크 치료방법
목디스크치료방법 - 목디스크에 신경주사만 계속 맞으신다고요?
목디스크치료방법, 한방에서 목디스크를 치료하는 방법과 증상이 좋아지는 원리
목디스크치료가 허리디스크치료
보다 더 쉽고 빠른 이유
목디스크 운동에 대해 꼭 알아야 할 5가지
목디스크에 좋은 운동
목디스크 운동 1. 도리도리 운동
목디스크 운동 2. 으쓱으쓱 운동
목디스크 운동 3.
짧아진 목 앞쪽 근육 늘리는 운동
목디스크 운동에 대해
꼭 알아야 할 8가지
목디스크운동 절대로
하지 말아야 할 3가지
목디스크병원 잘 고르는 법
목디스크, 목통증의 유일한 원인
목디스크 약화시키는 생활습관
목디스크 수면자세
목디스크 치료해도 낫지 않는 이유
목디스크운동 이거 하나로 끝낸다. 도리도리 운동 질문편
목디스크, 거북목, 일자목 목통증 환자의 통증을 유발하는 수면 자세와 교정법
목디스크증상, 목 주변의 뭉친 근육만 풀어줘도 증상이 좋아지는 이유와 목 근육 풀기 운동
이런 목디스크 환자는 금방 좋아질 가능성이 높습니다
목통증
목통증이란
경추통증 원인과 치료법
목과어깨통증
목통증 환자가 꼭 알아야 할 9가지
목근육통증
목근육통 치료해도 잘 안 낫는다면? 두 가지 가능성이 있습니다.
목통증과 두통 즉시
가라앉히는 스트레칭
목통증 치료에 가성비 정말 좋은 침 치료
목통증에 좋은 운동 3가지
잘 낫지 않는 만성 목통증, 근막통증증후군에 좋은 봉침치료법
뒷목통증에 대해 꼭 알아야 할 7가지
목에 담 걸렸을 때 혼자서 할 수 있는 목담 푸는 법 1편
목에 담 걸렸을 때 혼자서 할 수 있는 목담 푸는 법 2편
뒷목통증, 승모근 어깨통증, 근막통증증후군 치료해도 계속 재발하는 이유와 해결 방법
목통증이 허리통증보다 치료는 물론 관리나 운동이 훨씬 쉬운 이유는?
목통증, 목디스크 환자가 거북목자세 교정 하는 법
근막통증증후군에 대해 꼭 알아야 할 5가지
일자목/거북목
일자목
일자목교정과 관계없이 일자목통증은 치료할 수 있습니다.
일자목통증을 빠르게 해결 할 3가지 방법
일자목에 좋은 운동
거북목
거북목증후군 환자가
꼭 알아야 할 10가지
거북목교정에 대해 꼭 알아야 할
사실 3가지와 스트레칭법
거북목스트레칭
거북목자가진단
거북목베개, 일자목베개
고르는 법과 사용법
거북목교정 한 달 프로젝트
거북목교정, 일자목교정의 기본 중의 기본운동 1편 - 치맥 운동의 이론과 실전편
거북목교정, 일자목교정의 기본 중의 기본운동 2편- 거북목, 일자목 교정을 위한 마사지와 스트레칭법
거북목교정운동, 거북목스트레칭을 해도 거북목이 잘 교정되지 않는 이유
거북목교정운동, 거북목스트레칭 이거 하나로 끝낸다!
척수증
척수증
경추척수증 환자가 꼭 알아야 할 척수증 치료의 특징과 한방치료법
경추척수증, 목디스크로
오해하기 쉬운 척추질환
Myelopathy(경추척수증)에
대해 꼭 알아야 할 7가지
경추척수증 환자의 비수술 재활치료 후기, 젓가락질과 단추 끼우기가 어렵고 걸으면 발을 헛딛는 환자
경추척수증 환자의 비수술 재활치료 후기, 양손 마비와 보행 시 균형을 못 잡고 비틀거리는 환자
목디스크 파열과 경추척수증 근육 재활치료 후기, 신경주사 맞아도 계속 아픈 환자
경추척수증 환자 4명의 비수술 근육신경재활치료후기, 척수증에 꼭 수술만이 정답은 아닙니다.
경추관협착증
경추관협착증
허리디스크
허리디스크란
허리디스크 환자가 꼭 알아야 할 12가지
허리디스크 환자가 꼭 알아야 할 10가지
허리디스크 환자 살 빼는 법
허리디스크 증상
허리디스크자가진단(SLR테스트)
허리디스크 검사
허리디스크 통증, 하지방사통
허리디스크 초기증상 및 치료
허리디스크 초기증상 자연치유
허리디스크 자연치유 - 이론편
허리디스크파열 자연치유 - 실전편 1. 믿음갖기
허리디스크파열 자연치유 - 실전편 2. 회복기간 및 회복패턴 알기
서울 한방척추전문병원이 알려주는 허리디스크수술 신중히 결정해야 하는 이유
허리디스크 파열
허리디스크 파열 흡수되는 이유
허리디스크 파열 한방치료로 어떻게 좋아질까요?
허리디스크병원에서 알려주는 허리디스크 파열 시 힘빠짐과 마비 증상, 체크하는 법
허리디스크파열 됐을 때 한의사들은 수술 안 받나요
허리디스크 앉는 자세
허리디스크치료 한약 효과
허리디스크 운동 이야기 지금까지의 운동은 다 버려라
허리디스크에 좋은 운동
허리강화운동 10가지(디스크 급성기•회복기)
허리디스크운동 절대로 하지 말아야 할 3가지
허리디스크 운동, 수없이 많은 질문에 대한 답변
허리디스크 운동에 대해 잘못 알고 있는 이야기 - 허리디스크 급성기에 통증을 줄여주는 운동은 없다
허리디스크 생활습관
허리디스크 의자, 허리에 좋은 의자 고르는 법
허리디스크 치료해도 낫지 않는 이유
허리디스크 수술을 꼭 해야 하는 경우
퇴행성허리디스크 스테로이드 주사, 시술의 뜻밖의 부작용
허리디스크 악화시키는 생활습관
추간판탈출증 환자, 새우잠이 안 좋은 이유
추간판탈출증 무중력의자
추간판탈출증 재발 막는 방법, 요요를 조심해라
추간판탈출증 운동 1.스케이트 운동
추간판탈출증 운동 2.데스크 플랭크 운동
추간판탈출증 운동 3.허리 도리도리 운동
추간판탈출증 운동 4.걷기 운동
추간판탈출증 운동 5.허리 돌리기 운동
추간판탈출증 운동 6.골반 운동
추간판탈출증 운동 7.고관절•무릎 운동
추간판탈출증 운동 8.맨몸스쿼트 운동
추간판탈출증 운동 9.계단 오르기 운동
추간판탈출증 운동 10.모커리 슈퍼맨 운동
퇴행성허리디스크와 허리디스크탈출의 차이점
허리디스크, 척추관협착증 MRI만 보고 진단하면 안 되는 이유
허리디스크치료 - 허리디스크에 신경주사만 계속 맞으신다고요?
허리디스크 급성기에 운동으로 통증을 줄일 수 없는 이유와 운동을 해야 하는 시기
허리디스크 치료 받아도 잘 낫지 않는 이유 4가지
허리에 좋은 음식, 허리디스크·협착증에 좋은 음식 찾으신다구요? 이 음식을 꼭 섭취해야 합니다
추간판탈출증, 협착증 주사나 시술 후에도 심하게 아플 때 사람들이 많이 하는 3가지와 문제점
허리디스크치료, 근육을 꼭 치료해야 하는 이유
허리디스크치료가 끝난 후 자가관리 방법
허리디스크파열 회복 단계와 단계별 운동법
허리디스크는 어떻게 척추협착증으로 진행될까? 전조증상과 진행을 막는 방법
허리신경주사 꼭 맞아야 할 이유와 많이 맞으면 안 되는 이유
허리디스크 운동 불변의 법칙, 이 법칙을 따르지 않으면 여러분의 허리는 나빠집니다
허리디스크 허리통증 환자는 일반 스쿼트가 아닌 와이드 스쿼트를 해야 한다
자고 일어나면 아침에 통증이 극심한 허리디스크 환자가 매일 꼭 해야 하는 4가지 운동
허리디스크 협착증 신전운동에 대한 바른 이해
허리디스크가 오랫동안 낫지 않는 사람들의 이유와 해결 방법
허리디스크보존치료 오래해도 안 낫는 사람들, 도대체 무엇이 문제인가? 해결 방법은?
허리통증
허리통증이란
허리통증원인
급성허리통증
급성요추염좌
허리근육통
허리삐끗했을때
허리삐끗했을때 꼭 알아야 할 내용-허리가 삐는 것은 발목이 삐는 것과는 성격이 많이 다르다
갑자기 허리통증이 발생한 원인과 치료법
갑자기 허리통증 발생했을 때 꼭 알아야 할 7가지
디스크내장증
허리통증, 요통 치료 받아도 낫지 않는 이유 6가지
허리통증, 허리디스크 환자가 새우잠을 자면 안 되는 이유와 피하는 방법 3가지
만성요통(만성허리통증) 치료 받아도 잘 안 낫는 이유
만성요통(만성허리통증) 환자가 꼭 알아야 할 5가지
만성허리통증 환자가 반드시 조조강직감 증상 여부를 체크해야하는 이유
요통환자 10계명
허리아플때운동 1. 맥켄지 운동
허리아플때운동 2. 장요근 공 스트레칭
허리아플때운동 3. 둔근 공 스트레칭
허리아플때운동 4. 요방형근 공 스트레칭
허리아플때운동, 무조건 해야 되는 3가지
만성요통에 좋은 봉침치료법, 봉침이 효과를 발휘하는 이유
허리통증운동 1편 - 허리통증에 좋은 허리 앞쪽 근육 스트레칭
허리통증운동 2편 – 세상에서 가장 쉬운 엉덩이운동
허리통증운동 3편 - 엉덩이 근육을 강화하면서 고관절을 풀어주는 스트레칭
허리통증 환자가 매일 꼭 해야 하는 허리통증운동, 장요근 풀라공 운동
왼쪽허리통증, 오른쪽허리통증을 일으키는 4개의 근육 찾는 법과 운동법
좌골신경통
좌골신경통(허리디스크, 척추관협착증으로 인한 하지통증)
좌골신경통(근육으로 인한 하지방사통)
근육성좌골신경통, MRI상 원인을 찾을 수 없는 근육성 좌골신경통의 특징과 치료법
좌골신경통, 다리저림, MRI로도 알 수 없는 원인, 뭐가 문제고 어떻게 해결해야 되나?
MRI로 알 수 없는 양쪽 다리저림, 24시간 양쪽 발저림, 엉덩이 통증, 좌골신경통 환자의 근육재활치료 사례
신경주사를 맞아도 계속 아픈 허리통증, 엉덩이통증, 좌골신경통, 반드시 근육 문제를 의심해봐야 합니다.
근육 문제로 인한 좌골신경통, 다리저림, 양쪽 발저림, 엉덩이통증이 아주 많습니다. 치료방법은?
근육성 좌골신경통 재활 치료후기, 양쪽다리가 마비될 정도로 아프고 걷지 못하는 환자분
좌골신경통 비수술 치료후기, 앉으면 즉시 허리 엉덩이통증 누워도 양쪽다리가 심하게 저리는 환자분
척추관협착증
척추관협착증이란
척추관협착증 증상
척추협착증증상 초기/중기/말기
척추관협착증 초기증상 및 치료
척추관협착증 치료방법
척추협착증 한방치료 효과를 못 믿으신다구요? 이 내용을 보시면 믿게 됩니다.
척추협착증 말기 증상의 비수술 입원집중치료법
척추관협착증 수술
퇴행성척추관협착증을 일으키는 원인 3가지
퇴행성척추관협착증 수술 없이 치료가 되는 이유
척추협착증 말기 중증 환자가 입원치료를 받아야 되는 4가지 이유
협착증에 스테로이드 시술 효과가 떨어지는 이유
협착증 치료효과 논문
척추관협착증 환자가 꼭 알아야 할 12가지
협착증은 치료를 받든 안 받든 운동은 무조건 해야 한다
척추관협착증에 좋은 운동
척추관협착증에 좋은 운동 4가지
척추협착증에 좋은 운동- 걷기 운동법
척추관협착증 걷기 운동에 대해 꼭 알아야 할 8가지
척추협착증 운동, 걷기 운동을 잘못 하고 있는 환자들이 많습니다 - 걷기 운동 제대로 하는 법
허리협착증에좋은운동 5가지와 초기협착증
척추협착증 허리, 다리 근력 운동 1편
척추협착증운동-거꾸리운동
척추관협착증 반드시 피해야 할 4가지 운동
협착증에 맥켄지 운동 하면 안 되는 이유
허리협착증증세
허리협착증이 아니라 디스크라구요
허리디스크협착증
척추협착증 비수술치료 원리
척추협착증치료 후 허리펴짐
척추협착증 MRI와 임상증상
척추협착증 생활수칙 10가지
척추협착증 허리디스크 차이점
척추협착증수술 후 인접분절질환
척추협착증수술 부작용-척추수술실패증후군
척추협착증 한방치료 비용, 비싸다는 오해
협착증 치료, 이런 분들일수록 치료 효과가 훨씬 좋다
협착증이 아닌 디스크 환자가 협착증으로 오해하는 경우가 많이 늘고 있다
협착증 한방치료로 신경압박이 풀리는 눈에 보이는 증거가 있습니다
척추협착증 한방치료비용과 실손보험 잘 이용하는 법
허리디스크, 척추관협착증 MRI만 보고 진단하면 안 되는 이유
척추협착증 치료, 이런 논문을 못 믿으시면 뭘 믿고 치료를 받으시겠습니까?
척추협착증의 진행을 막는 8가지 방법
허리협착증의 진행을 막는 8가지 방법 중 자세히 1편 - 증상 변화에 세심한 관심을 가져야 한다.
허리협착증의 진행을 막는 8가지 방법 중 자세히 2편 - 증상이 악화됐다면 원인을 찾아야 한다.
추간공협착증이 진짜 척추관협착증보다 치료가 더 쉬운 이유
척추전방전위증을 동반한 척추협착증, 수술 없이 치료하는 방법
척추협착증 치료받을 때 뭘 믿고 치료 받으시나요?
허리디스크와 협착증이 같이 있다구요? 척추관협착증이 아닐 가능성이 매우 높습니다.
척추관이 좁아져 협착이 있어도 증상이 없는 사람이 많은 이유
척추협착증 치료 잘하는 곳 고르는 방법 5가지
척추협착증과 근감소증은 매우 밀접한 관계가 있습니다.
허리에 좋은 음식, 허리디스크·협착증에 좋은 음식 찾으신다구요? 이 음식을 꼭 섭취해야 합니다.
척추협착증, 퇴행성디스크, 척추전방전위증, 허리통증에 재활치료를 꼭 받아야 하는 이유
척추협착증운동, 눌린 신경을 풀어주는 누워서 하는 5가지 운동
척추협착증인데 한쪽 다리만 심하게 아프다구요? 협착증 증상이 아닐 수 있습니다.
허리협착증에 좋은 운동, 공 스트레칭 3가지
척추협착증 환자에게 좋은 뭉친 등 근육을 풀어주는 운동
척추관협착증과 허리디스크, 아침이 제일 아픈 이유와 해결 방법
협착증치료, 지난 20년간 협착증의 한방치료는 엄청난 발전을 이룩했다
척추협착증원인 2가지, 제대로 알아야 비수술치료가 가능한 이유를 알 수 있다.
허리협착증운동, 매일 반드시 해야 하는 이유와 5가지 운동
척추협착증 수술 없이도 치료가 가능한 이유 5가지
허리협착증치료 효과, 임상시험과 7년의 연구를 통해 밝혀진 재활치료 효과와 국제학술지 논문 발표
척추관협착증이 수술 없이 좋아질 수 있는 이유
허리협착증증세 완화에 도움 되는 4가지 운동, 4주간 꾸준히 하면 증상이 완화됩니다.
척추협착증운동 – 둔근(엉덩이 근육) 공 스트레칭
척추관협착증 증상 완화에 좋은 공운동 – 요방형근
척추분리증
척추분리증이란
척추분리증 환자가 꼭 알아야 할 7가지
척추분리증 운동
척추전방전위증
척추전방전위증이란
척추전방전위증 환자가 꼭 알아야 할 10가지
척추전방전위증에 대한 오해와 진실 5가지
척추전방전위증 운동
요추전방전위증, 척추분리증에 좋은 운동-데스크 플랭크 운동
척추전방전위증 치료
척추전방전위증이 수술 없이도 치료되는 이유 4가지
척추전방전위증 환자들이 가장 많이 묻는 질문 10문 10답
척추유합술 후 재발치료
척추유합술 후 재발치료
척추협착증수술(척추유합술) 후 인접분절질환
척추협착증수술 부작용-척추수술실패증후군
척추 운동법
목디스크에 좋은 운동
일자목에 좋은 운동
허리디스크에 좋은 운동
허리통증에 좋은 공운동법
척추관협착증에 좋은 운동
척추분리증에 좋은 운동
척추전방전위증에 좋은 운동
섬유근육통
섬유근육통치료에 쓰는 항경련제, 항우울제와 한방치료의 효과
섬유근육통 진단에 대해 꼭 알아야 할 7가지
섬유근육통증상과 진단의 중요성
섬유근육통은 아픈 곳을 직접 치료해야 좋아집니다.
수술 후 통증·재활
근위경골절골술, 줄기세포치료 후 한·양방 협진 재활치료
무릎인공관절수술 후 재활치료
서울재활병원 강남 모커리한방병원에서 알려드리는 무릎인공관절수술 후 꼭 해야 하는 무릎재활운동
척추수술 후 통증치료
척추수술 후 재활치료
척추유합술 후 통증, 척추수술 후 통증증후군에 좋은 재활치료
협착증 수술 후 남아 있는 다리저림, 왜 반드시 재활치료 해야 할까요?
척추수술 후 통증증후군, 허리디스크 파열 척추유합술 후 새로 생긴 방사통과 마비 근육재활치료
근육파열
엉덩이 근육파열과 고관절 통증에, 특별한 방법이 없으니 집에서 쉬라고만 들은 환자의 재활치료 사례

디스크내장증 근육성방사통 허리기능재활치료후기- MRI 와 일치하지 않는 양쪽 발저림 증상과 앉기만 하면 엉덩이와 허리가 아파 디스크내장증 진단을 받은 환자분

“앉는 게 가장 힘들었어요. 앉으면 엉치가 많이 아파서 한 10~15분 앉아 있는 것도 힘들어 밥도 제대로 못 먹었어요”

앉는 게 제일 힘들었어요. 앉으면 엉치가 많이 아팠고요. 엉치가 한 두달 정도 아프고 나서 그게 허리로 올라오더라고요. 그래서 한 10분, 15분 앉아 있는 게 너무 힘들어서 밥도 제대로 못 먹다 보니까 몸무게도 많이 빠지고 그랬습니다. 한 3개월 만에 10kg 넘게 빠졌던 것 같아요.

“양쪽 발끝, 발가락까지 다 저렸고 누워 있을 때나 앉을 때 비슷하게 있었어요”

다리는 양쪽 발끝이 저린 증상이 있었어요. 발가락이 다 저렸어요. 발가락 통증도 있었어요. 저림과 통증은 항상 있었는데 누워 있을 때나 앉을 때 비슷하게 있었어요. 가면 갈수록 더 못 걷겠더라고요. 한 10분만 걸어도 힘들다는 생각이 들었어요.

“허리가 조금 아팠는데 운동으로 허리를 강화시켜야겠다는 생각에 제 근력 상태보다 무리했던 것 같아요”

작년에 허리가 조금 아프면서 운동을 해서 허리 강화 시켜서 낫게 하자고 생각했던 것 같아요. 걷기나 매달리기, 푸쉬업 그런 운동들을 주로 했던 것 같아요. 생각해보면 제 근력 상태보다 운동이나 일을 무리하게 하지 않았나. 그래서 허리가 버틸 수 있는 한계를 넘어서 아프지 않았나 생각이 들었어요.

“병원 세 군데 정도 가봤는데 MRI 검사 후 퇴행성 디스크가 있고 4번 5번 디스크가 나왔더라고요. 그게 원인이라고 판단해 디스크를 고치려고 하셨어요”

병원 세 군데 정도 가본 것 같아요. MRI를 찍었는데 퇴행성 디스크가 있고 4번 5번에 디스크가 튀어나왔다고 말씀하시더라고요. MRI상에 어쨌든 퇴행이 있고 디스크가 조금 튀어 나와 있으니까 디스크를 고치려고 하시더라고요. 그게 원인이라고 판단했던 것 같아요. 근데 저는 일반인이니까 병원에서 그렇게 말씀을 하면 그걸 믿을 수밖에 없잖아요. 병원에서 수술할 정도는 아니라고 해서 주사 치료를 받게 됐어요.

“MRI와 증상을 꼼꼼히 비교해 본 병원이 없었어요”

그런 병원은 없었어요. 한 번도 제 증상과 MRI를 비교해 보는 병원은 없었어요. 다른 병원들은 MRI 상으로는 이런 증상이 나올 수 없는데 그거를 약간 무시한다고 해야 될까요? 아니면 정확히 봐주지 않는다고 해야 될까요? 그렇다 보니까 허리가 안 좋은 건 알고 있었지만 어떻게 안 좋은지 정확히 몰랐던 것 같아요. MRI 찍어봐도 디스크가 안 좋으니까 디스크 문제라고 많이 생각을 했던 것 같아요.

“신경주사도 여러 번 맞았는데 효과가 없었어요”

작년에 다섯 번 정도 맞았고요. 그전에도 2-3년 간격으로 두세 번씩 맞아서 다 합치면 10번 넘게 맞은 것 같아요. 신경주사는 작년 3월에 두 번 맞고 9월에 세 번을 맞았는데 3월에 두 번 맞았을 때는 괜찮았어요. 근데 9월에 세 번 맞은 게 효과가 없었어요. 9월에는 신경주사 효과가 없었고 오히려 더 안 좋아졌어요.

“디스크내장증 진단을 들었어요”

디스크내장증 진단을 한번 들었어요. 말씀은 그렇게 하셨어요. 찾아보니까 그게 블랙디스크라고 하더라고요.

“유튜브 검색을 하다가 저랑 증상이 비슷한 환자분들의 치료후기를 보고 모커리에 오게 됐어요”

저는 병원을 믿고 디스크 치료를 했던 건데 디스크가 원인이 아닐 수도 있겠다는 생각이 들어서 그때부터 많이 찾아보기 시작했죠. 유튜브 검색을 하다가 운동방법 많이 봤고 그리고 저랑 비슷한 환자들 치료후기 그런 거 많이 보고 찾아왔어요. 치료후기 영상에 MRI랑 증상이 매치가 잘 안 되는 분들 계시고 그리고 어차피 수술할 생각은 없으니까 모커리에 오게 됐습니다.

“수술할 게 아니니까 올 수 있는 데가 모커리밖에 없더라고요. 제 기능을 근 기능 이상으로 진단하고 근육을 치료한다는 게 믿음이 가더라고요”

저는 믿음이 있었어요. 왜냐하면 어차피 수술할 게 아니니까 올 수 있는 데가 모커리 밖에 없었어요. 제 증상을 근 기능 이상으로 진단하는 데가 아무리 찾아봐도 없는 거예요. 그래서 일단은 근육을 치료한다는 게 믿음이 가더라고요.

“주위에서 양방에 가서 수술하는 게 좋지 않겠냐고 말씀 많이 하셨지만 제가 결정해서 오는 거니까 제 생각이 바뀔 부분은 없었어요”

아무래도 양방보다는 한방에 대한 인식이 그렇게까지 좋진 않잖아요. 주위에서 양방에 가서 수술이나 치료를 받는 게 훨씬 효과가 좋지 않겠냐고 말씀 많이 하시더라고요. 그렇다 보니까 한방병원을 왜 가냐고 하면서 사람들이 많이 의아해했죠. 근데 아픈 건 저고 치료 받는 건 저니까 남들 얘기를 참고할 수 있어도 어차피 제가 결정해서 오는 거니까 바뀔 부분은 없다고 생각해요.

저희는 디스크내장증은 정말 잘못된 진단이며 디스크 문제가 아닌 허리 기능의 문제, 특히 허리근육 기능의 문제가 원인이고 허리 근육 기능의 재활 치료를 해야만 좋아질 수 있다고 설명 드리고 있습니다. 그래서 혹시라도 디스크내장증 진단을 받으신 분들은 이 내용을 자세히 보시면서 왜 아픈 건지, 치료는 어떻게 하고 관리와 운동은 어떻게 해야 하는 건지 자세히 들어보시길 바랍니다.

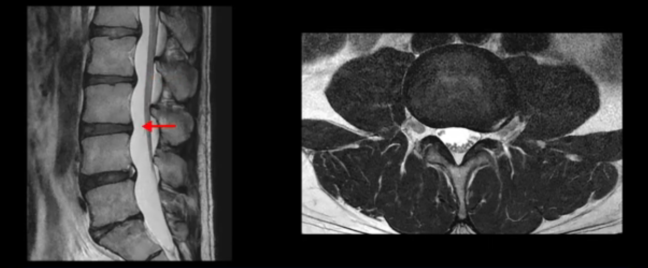
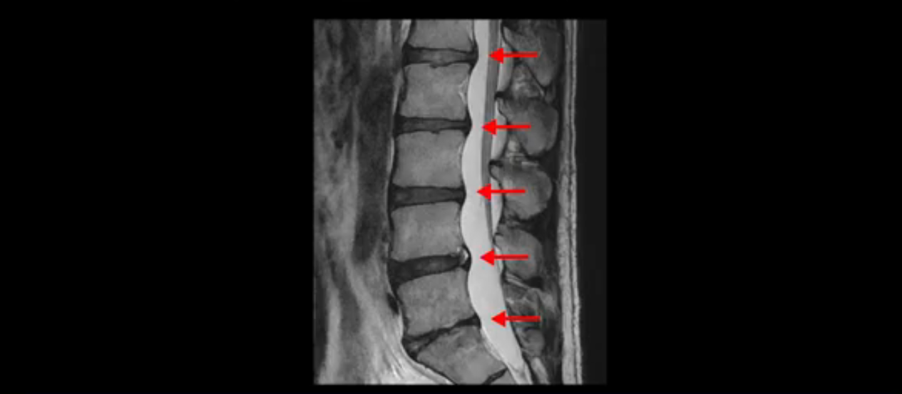
우선 이분 MRI를 보면 허리 모든 마디의 디스크가 퇴행되어 있고

여러 마디의 디스크가 조금씩 밀려나와 보이고, 디스크 섬유륜도 찢어져 보이는 마디도 보입니다.

그런데 이분의 증상과 MRI가 전혀 일치하지 않는데, 왜 그런지 지금부터 자세히 설명드립니다. 이분 증상은 앉으면 엉치와 허리가 심하게 아파 10분 이상 앉는 게 어렵고 양쪽 발가락이 앉아있을 때나 누워있을 때 다 저립니다. 걸을 때도 아파서 10분 걷기도 어렵습니다. MRI를 마디마디 살펴보면 1번 2번은 오른쪽으로 살짝 밀려나온 디스크가 있지만 전혀 심하지 않고, 뒤에 또 설명하겠지만 최근에 밀려나온 급성 디스크가 아니고 오래된 디스크로 판단됩니다.

2번 3번도 비교적 디스크 상태는 좋고 신경 구멍 넓이도 아주 넓습니다.

3번 4번도 마찬가지로 디스크상태 좋아 보이고 신경 눌림 전혀 없어 보입니다.

4번 5번은 가운데로 섬유륜이 찢어져서 디스크가 살짝 밀려나와 있지만 역시나 최근에 찢어지고 밀려나온 걸로 판단되지 않고 오래 전에 찢어진 흔적으로 보입니다.

왜 최근에 찢어진 급성이 아니고 오래된 거라고 하는지 이 부분도 뒤에 한꺼번에 설명 드리겠습니다.

5번 1번 역시 가운데로 디스크 조금 밀려 나와있지만 신경 공간 넓이는 아주 넓어서 신경 눌림 있을 거라고 예상이 안됩니다.

추간공도 보시다시피 왼쪽, 오른쪽 전부 다 매우 넓어서 신경이 눌릴만한 부분이 전혀 보이지 않습니다.

앞서 1번 2번, 4번 5번, 5번 1번의 디스크가 찢어지고 조금 밀려 나온 게 최근에 찢어진 게 아니고 오래된 걸로 보인다고 말씀 드렸죠. 왜 그럴까요? 만약 급성으로 찢어진 것이라면 아주 심한 디스크성 통증이 있겠죠. 기침이나 재채기를 하면 심하게 아프고 허리를 조금만 구부리거나 비틀면 아주 날카로운 통증들이 생길 겁니다. 그런데 이분은 이런 증상이 전혀 아닙니다. 또 디스크의 밀려나온 정도도 전혀 심하지 않기 때문에 이분이 가지고 계신 양쪽 다리 저림, 특히 이분은 누워있을 때도 양쪽 발이 발가락까지 쑤신다고 하는데 이정도 디스크 때문에 그런 증상은 생길 수가 없는 겁니다. 이처럼 이분의 가벼운 디스크 탈출은 이미 오래 전에 진행되었고 섬유륜 자체는 이미 아문 상태인데도 디스크내장증을 진단받은 환자들 중에는 본인이 섬유륜 파열 환자라고 끝까지 믿는 분들이 많습니다. 다시 말하지만 디스크내장증이라는 진단을 받은 환자들을 보면 거의 전부 다 섬유륜 파열 증상이 아닙니다. 증상이 완전히 다릅니다. 진단이 애초에 잘못되면 어떤 치료를 받아도 좋아질 수 없습니다.

이분은 어떤 한 병원에서 디스크 내장증 얘기를 들으셨는데요. 여기 보시는 것처럼 4번 5번의 하얀 HIZ(High Intensity Zone)을 보고 디스크 내장증의 근거로 얘기하는 병원들이 있는데,

이 HIZ는 섬유륜이 찢어졌다가 이미 아문 뒤에도 얼마든지 보일 수 있는 흔적일 가능성이 있어서 재채기를 하면 아픈지, 허리를 구부릴 때 날카로운 통증이 생기는가 등의 증상으로 구별해야 하는데 MRI만 보고 HIZ가 보이면 그게 마치 통증의 원인인 것처럼 얘기하는 의사들이 있습니다. 이분 MRI를 자세히 보고 증상을 정말 자세히 들어본 의사가 있었더라면 다른 환자분들처럼 증상과 MRI가 일치하지 않는다는 얘기를 들을 수 있었을 텐데 이분은 그런 얘기는 듣지 못했습니다.

그럼 MRI를 자세히 봤으니까 이제 이 환자의 증상은 실제 왜 생기고 어떤 문제 때문에 아픈지에 대해서 차분히 설명을 드리도록 하겠습니다. 이 환자분의 진짜 통증의 원인은 무엇일까요? 이건 디스크의 문제가 아닙니다. 이 환자분의 진짜 통증의 원인은 허리의 기능이 완전히 무너진 겁니다. 허리의 기능 중에 가장 중요한 부분을 차지하는 게 근육인데, 이분의 근육 기능에는 오래 전부터 문제가 많았습니다. 이분은 작년에 앉지 못하고 양쪽 다리가 저리는 심각한 증상이 발생했는데요. 그런데 이런 증상이 발생하기 훨씬 이전부터 운동을 조금만 무리하면 허리가 뻐근하고 아픈 증상들이 있었습니다. 10년도 더 되는 오랜 기간 동안 허리가 조금씩 아프고 만성적으로 안 좋은 상태였는데, 6개월 전 어느 날 무리한 운동을 한 후에 허리와 근육의 기능적인 문제가 한계선을 넘어가니까 더 심한 증상들이 쏟아져 나오는 거죠.

허리 기능의 가장 중요한 부분이 허리를 지탱하는 건데, 우리 허리가 가장 부담을 받는 자세가 앉는 겁니다. 그래서 이렇게 허리 기능이 무너지고 망가진 환자들의 가장 중요한 첫 번째 증상이 앉지를 못하는 겁니다. 앉을 때 허리가 지탱을 해줘야 되는데 지탱을 하지 못하니까 허리나 엉덩이가 아프고 다리까지 저린 것이죠.

근데 이 환자분이 평소에도 허리가 좋아지려면 운동을 해야 한다고 믿어서 허리가 아픈데도 꾸준하게 근력 운동을 합니다. 이런저런 근력 운동을 인터넷이나 유튜브를 보고 따라 합니다. 그럼 어떻게 되겠습니까? 허리와 근육 기능이 좋지 않은 상태에서 근력운동을 하니까 더 아프고, 또 쉬면 좋아지고.. 이걸 10년 이상 반복하는 겁니다. 이분이 이런 말씀하는 걸 앞에서 들으셨죠?

게다가 이 환자분은 발병하고 나서 식사를 못하니까 10kg이상 살이 빠졌다고 했는데, 몸무게가 그렇게 많이 빠지면 대부분 근육이 빠지는 겁니다. 근육에 기능적 문제가 있는데 근육량까지 줄어들면 당연히 증상이 더 악화될 수 밖에 없습니다.

근데 이런 양쪽 다리 방사통을 느끼는 분들이 가진 공통적인 특징이 있습니다. 저희가 수많은 이러한 증상의 환자분들을 치료하면서 알게 된 내용인데, 10명 중에 9명은 예민하면서 강박증이 있습니다. 그게 어떤 의미냐면 이런 환자분들이 일단은 빨리 좋아져야 된다, 지금 당장 무언가를 해서 빨리, 그리고 완벽하게 모든 증상이 사라져야 된다는 생각이 매우 강합니다. 그래서 치료를 받든지 운동을 하든지 무언가를 빨리 해치워야 한다는 강박증이 있습니다. 그 강박증 때문에 편하게 쉬지 못하는 특징들을 가지고 있습니다. 그러니까 몸이 좀 편하게 쉬면 더 회복되고 좋아질텐데 몸이 회복될 시간도 주지 않고 조금 회복되면 또 근력 운동 등으로 몸을 괴롭히는 겁니다.

그래서 이런 환자분들의 운동과 치료는 일상생활을 완전히 중단하고 입원해서 푹 쉬게 한 상태에서 허리의 근육이나 근력 기능이 떨어지지 않도록, 또 서서히 기능을 회복시키는 아주 가벼운 운동들을 해줘야 합니다. 그리고 허리 기능과 근육 기능이 떨어졌다는 얘기는 허리, 골반 주변의 근육들이 심각하게 긴장되고 경직되고 불균형이 생겼다는 얘기입니다. 그래서 매일 4회 이상 그 근육들을 한방, 양방의 다양한 치료방법으로 풀어주고 쉬고 가볍게 운동하고를 반복하는 겁니다. 긴장되고 경직되고 뭉친 근육들을 풀어주는 방법은 침, 약침, 봉침, 이완추나요법, 도수치료, 물리치료, 가벼운 운동 치료 등 수많은 방법이 있고, 이런 치료들을 복합적으로 이용하여 하루에 4번 이상 반복해서 치료하는 겁니다. 굳어있고 뭉치고 뒤틀린 근육들이 풀리고 가벼운 재활운동을 통해 허리의 기능이 회복되면 통증도 줄어들고, 앉아있을 수 있는 시간도 늘어납니다. 보통은 1~2주 정도 지나면 근육치료와 휴식의 효과, 재활운동의 효과가 나타나면서 허리가 편해지기 시작하고, 3-4주 정도 되면 통증이 많이 좋아지면서 치료가 끝납니다.

그런데 중요한 건 뭐냐면, 이런 분들이 발병하고 나서 6개월이건 1년이건 어떤 치료를 받건 단 한 번도 이 정도의 호전 효과를 본 적이 없다는 겁니다. 이분 역시 통증이 심하게 나타난 지 6개월 이상 됐습니다만, 그 어떠한 치료를 받아도 호전 효과를 보지 못했다고 하셨습니다. 그래서 고주파 치료 같은 시술을 고민했다고 하는데요. 그러면 어떠한 치료를 받든 어떤 운동을 했든 이 정도 수준의 호전 효과를 보이지 않았다면, 저희가 얘기하고 있는 허리 기능이 망가져서 이러한 증상이 나온다가 맞는 것 아닙니까? 이 환자분은 사실 10-20년 가까이 몸에 무리가 되는 근력 운동을 지속하면서도 이 운동들을 본인의 척추 근육 기능들이 받아들이지 못한다는 걸 인지하지 못한 채 운동하고 아프고 운동하고 아프고를 반복하면서 살았다고 합니다. 그러다가 결국 한계점에 이르니까 작년 여름에 문제가 터진 겁니다.

이런 분들 특징이 본인의 몸을 편하게 내버려 두질 않고 계속 괴롭히고, 그나마 좀 쉴 때도 강박증 때문에 맘이 편하질 않습니다. 그래서 진짜 치료는 허리 기능을 재활시키는 것도 중요한 치료이지만 디스크내장증을 진단받은 환자들이 이걸 깨닫게 하는 게 정말 중요한 치료의 일부분인 겁니다. 이걸 깨닫지 못하면 단언컨데 회복은 불가능합니다.

자, 이 환자분은 3주 입원치료하고 퇴원하셨는데, 이분의 치료 결과는 어떻게 됐을까요? 아까 말씀 드린 대로 통증이 발병한 후 처음으로 상당부분 좋아지셨을까요? 통증의 원인이 뭐라는 걸 확실히 깨닫고 앞으로 관리나 운동을 잘할 수 있는 자신감이 생겼을까요?

디스크내장증 의심 환자의 비수술 허리기능재활치료이야기

▼디스크내장증 증상 환자 허리기능재활치료후기, 허리, 엉덩이, 양쪽 다리통증과 저림, 아파서 앉을 수가 없다▼
▼디스크내장증 증상 환자의 허리기능재활치료후기, 비수술치료 완쾌 58번째 이야기▼
▼디스크내장증 증상 환자의 허리근육재활치료후기, 비수술치료 완쾌 24번째 이야기▼
▼척추협착증과 디스크로 많이 오진되는 근감소증 근육재활치료후기, 비수술치료 완쾌 29번째 이야기▼
▼ 근육문제, 근육이 원인인 양쪽 다리저림 재활치료 후기, 비수술치료 완쾌 17번째 이야기▼

모커리한방병원 디스크 내장증 ABCDE 한·양방 협진 재활치료법

모커리 디스크내장증을 진단 받은 환자분들의 대부분은 허리 기능이 약화되어 있고 근기능 이상이 있게 때문에 허리기능을 재활하는 치료가 필요합니다. 활동량과 운동량을 줄이고 충분히 쉬며 한·양방 협진 복합 재활치료 및 가벼운 재활운동도 진행합니다.

모커리한방병원 온라인 진료예약