어깨부터 팔, 손까지 저림이 오더라고요. 움직이면 통증이 시작되는 거예요. 한 달 반 동안 계속 통증이 아주 심했어요. 쥐어 짜듯이 결리고 엄청 심한 통증이 있었거든요. 5월 중순쯤 아프기 시작했어요. 일을 많이 했더니 어깨가 결리더라고요. 잠을 잘못 잤나 싶었어요. 계속 결리더라고요.
신경외과 가서 X-ray만 찍었는데 목에 협착이 조금 있다고 그러더라고요. 신경주사 맞자고 했는데 제가 안 맞는다고 그랬어요. 주사 맞는 거 안 좋아해서요.
계속 목과 어깨가 결려서 한의원에서 침 맞고 한 달 반을 그렇게 지냈어요. 계속 통증이 나아지지를 않으니까 MRI 찍어보니까 디스크 4,5번이 터져서 신경을 눌려서 그렇게 아팠던 거더라고요.
남편이 유튜브 치료후기를 보고 모커리를 결정하게 됐어요. 계속 치료 받아도 나아지지를 않으니까 마지막으로 모커리 가서 치료를 한번 해보자. 모커리 가는 게 좋을 것 같다 그래서 결정을 하게 됐어요. 저희도 수술하는 걸 안 좋아하거든요. 유튜브 쭉 보고 입원해야겠다는 마음으로 짐을 다 싸가지고 왔죠.
이분 MRI 보면서 잠깐 설명해 드린 후 왜 목디스크 치료가 허리디스크보다 훨씬 더 쉽고 빠른지, 또 치료는 어떻게 하는지 자세히 설명 드리겠습니다.
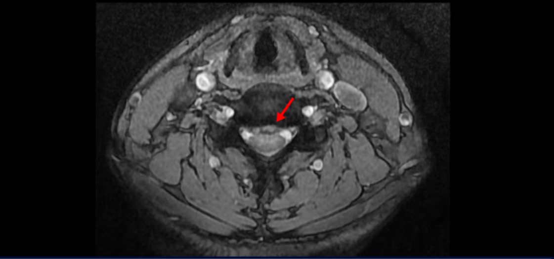
이분 MRI를 보면 세 마디의 퇴행성 목디스크가 있습니다. 4번 5번, 5번 6번과 6번 7번이 세 마디인데

디스크 파열은 4번 5번이 제일 심합니다.

중앙 오른쪽으로 수핵이 밀려 나와있고 밑으로 흘러 내려가 있습니다.

그런데 이 환자분의 방사통은 왼쪽 어깨와 팔입니다. 그래서 이 4번 5번 디스크 파열은 왼쪽 방사통의 원인이 아닌 걸로 보입니다. 6번 7번을 보면 디스크가 왼쪽으로 밀려 나와 있고, 뼈도 자라나 있습니다.

이렇게 뼈가 자라나 있으니까, 신경가지가 빠져나가는 추간공을 보면 여러 마디가 다 좁아져 있습니다.

이런 걸 협착이라고 합니다. 목이 협착이 진행된 것이죠. 그런데 왜 목디스크, 목 협착 치료가 허리보다 훨씬 더 쉽고 빠르다고 하는 걸까요? 그 이유는 목은 하중을 허리보다 훨씬 더 적게 받기 때문입니다. 하중을 적게 받으니까 신경 눌림이 조금만 줄어도 증상이 훨씬 더 빠르게 좋아지는 것입니다.
그럼, 수술 없이 신경 압박을 어떻게 줄일까요? 신경 압박은 여러분이 생각하는 것처럼 디스크나 협착만으로 신경 압박이 되는 건 아닙니다. 근육도 매우 큰 역할을 합니다. 특히 목디스크나 목 협착 환자는 99% 거북목이 있고, 이 환자분도 X-ray 보다시피 심한 거북목과 일자목이 있고, 이 거북목으로 인한 심각한 목 근육 문제들을 가지고 있습니다.
이 근육 문제들이 목디스크, 목 협착증의 발병에 엄청나게 중요한 역할을 합니다. 거북목이 있으면

목 뒤쪽 근육들은 앞으로 나간 머리를 붙잡기 위해

엄청난 부담이 생기면서 뭉치게 되고, 목 앞쪽 근육들은 뭉치면서 단축될 수밖에 없습니다.

이런 목의 부담과 압력이 목의 퇴행성 변화를 가속화시켜 퇴행성 목디스크와 목 협착이 생기면서 어느 날 신경 눌림 증상이 생기는 겁니다.
그런데 이 짧아지고 뭉친 목 근육들이 목뼈들을 심하게 잡아당기기 때문에 신경 눌림이 더 심해집니다. 그래서 이 거북목 때문에 짧아지고 뭉치고 굳고 뒤틀린 목 근육, 특히 목 앞쪽 근육이 풀리기만 해도 신경이 덜 눌리니까 목디스크와 목 협착증이 빠르게 좋아지는 겁니다.
이런 얘기를 처음 들으니까, 이해가 잘 안 되시는 분들이 많이 있으실 텐데요. 그래서 저희가 매주 치료후기를 찍어 올리고 있는 것 아닙니까? 또 디스크와 협착증의 치료 결과를 대조군 임상시험이라는 아주 과학적이고 수준 높은 연구로 진행하여 외국의 유명 대학병원과 함께 해외 학회에 논문도 발표하고 있는 것 아닙니까? 이처럼 근육과 신경은 너무나도 밀접한 관련이 있기 때문에 저희는 이 치료를 근육신경재활치료라고 부릅니다.
그럼, 이 목근육신경재활치료는 구체적으로 어떻게 하는 걸까요? 목 주변 근육을 치료할 때 목의 앞과 뒤 전체를 치료하지만, 그중에서도 제일 중요한 곳은 짧아지고 뭉쳐있는 목 앞쪽 근육입니다. 목 앞쪽 근육을 하루에도 4번 이상 침, 약침, 봉침, 이완추나, 도수치료, 물리치료 등으로 반복해서 치료하면 이 근육들이 풀리면서 목뼈를 잡아당기는 게 줄어드니까 신경눌림 증상이 줄어듭니다. 그런데 이 목 앞쪽 근육 사이로는 신경과 혈관이 매우 많이 집중되어 있기 때문에 침이나 봉침 치료를 하는 게 쉽지 않습니다. 매우 고난도의 치료입니다. 그래서 고도로 숙련된 시술자만이 안전하게 할 수 있는 치료입니다.
그럼, 이 환자분의 목디스크, 목 협착증의 입원 치료 결과는 어떻게 되었을까요? 보통 목은 평균 2주 정도 입원 치료를 한다고 말씀드리는데, 이분은 2주 만에 얼마나 좋아지셨을까요? 저희 병원 오시기 전 한 달 반 동안 극심한 방사통에 시달리셨다고 했는데 방사통이 완전히 다 사라졌을까요? 이 환자분의 치료 결과가 궁금하시다면 아래 영상을 꼭 보시길 바랍니다.
모커리 목디스크 ABCDE 복합치료법은 수술 없이 목디스크를 치료하는 모커리 고유의 비수술 치료방법입니다. 초기 목디스크는 물론 수술을 권유 받을 정도의 힘 빠짐이나 마비를 동반한 중증 목디스크까지 ABCDE 목디스크 비수술 치료법으로 치료하고 있습니다. 모커리는 일반적으로 목디스크가 허리디스크보다 비수술치료로 더 쉽고 빠르게 치료된다는 것을 연구하여 학술대회 등에 지속적으로 발표하고 있습니다.
